Veneers: Dave
Description
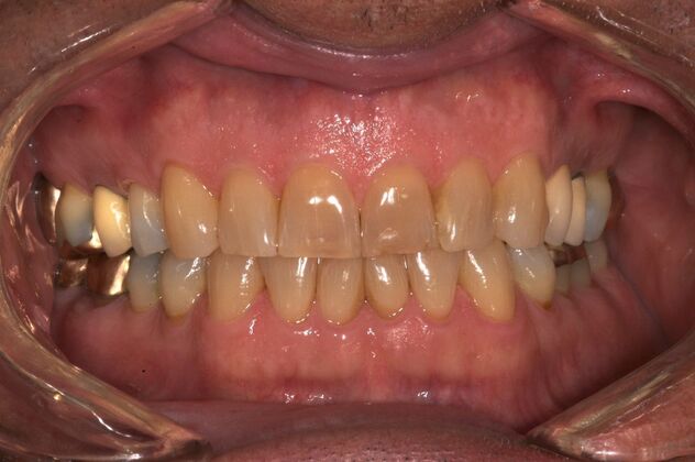
Over a decade and a half ago, Dave underwent a life-changing smile makeover with the placement of 10 veneers. What's truly remarkable is that even after 15 years, his smile retains the same level of radiance and perfection. Our recent encounter with Dave reaffirms the timeless quality of our dental craftsmanship. Witness for yourself how a stunning smile knows no bounds of time – it's a testament to the artistry and longevity of our work.







