Veneers: Amanda
Description
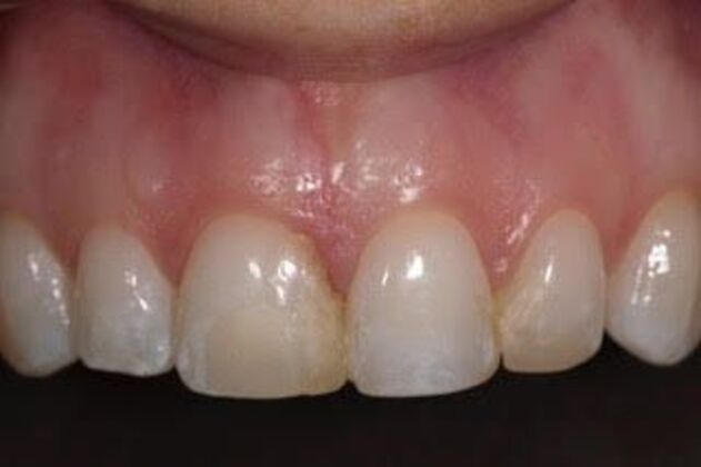
Situation: Amanda was 19 when we did her work. She came to us because she had spaces between her teeth that had been bonded with resin, which was now discolored. She was embarrassed by the discoloration and wanted something that looked good and would last a long time. Solution: Amanda had nice form and no wear on her teeth. She was happy with the natural color of her teeth and with the form of her smile. Consequently, we decided to remove the discolored resins and close all the spaces by doing only four veneers. Extreme care was taken ensure that the color of the four center teeth we veneered with porcelain matched the color of her natural teeth.








